Using the most advanced dental technology possible is just as important as staying up to date on the latest treatment techniques. Because our practice is dedicated to providing your child with the safest and most convenient treatment options available, we utilize advanced digital X-ray technology in our office.

Because we care about your child’s bodily health and well-being, we believe that reducing the amount of radiation exposure is extremely important. Although the amount of radiation used in dental X-rays is very small, the effect is cumulative, so all radiation counts. Digital X-rays can reduce your child’s exposure to radiation by up to 80 percent!
Our dental practice in Huntington Beach CA is focused on making your child’s dental experience as comfortable as possible. At your next appointment, we’ll be happy to answer any questions you may have.


We get this question a lot, and the answer is a resounding yes. At Brookhurst Pediatric Dentistry, we use modern digital X-rays, which are a world away from the old film versions.
To keep things as safe as possible, we follow the "ALARA" principle—which is just a fancy way of saying we use the "As Low As Reasonably Achievable" amount of radiation. To put the numbers in perspective: a single digital X-ray exposes your child to about 0.001 mSv of radiation. That is actually less radiation than they’d get just playing outside in the sun for a day or taking a short airplane flight. We only take them when they are clinically necessary to make sure we aren’t missing hidden issues.
If you grew up wearing a heavy lead vest at the dentist, this change might feel a bit strange! However, in 2024, the American Dental Association (ADA) updated its guidelines to state that lead aprons and thyroid collars are no longer necessary for digital X-rays.
Because modern digital equipment is so precise and uses such a tiny amount of radiation, the "scatter" that those vests were meant to protect against is virtually non-existent. In fact, sometimes the heavy vests can actually get in the way of a clear image, forcing us to retake the X-ray. We stay strictly up-to-date with these safety standards, but if you’d still prefer a shield for your peace of mind, just let us know—we’re happy to chat about it.
There isn’t a "one size fits all" schedule here. We tailor the frequency to your child’s specific mouth:
When you first visit our Huntington Beach office, we’ll likely take a baseline set to see how the jaw is growing and where the adult teeth are hiding. After that, we only recommend them when there's a clinical reason to do so.
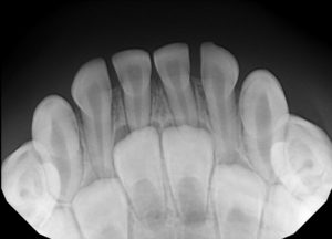
A visual exam is great for seeing the surfaces of the teeth, but a lot of dental health happens "under the hood." Digital X-rays allow us to see:
By catching these things early, we can usually fix them with much simpler, less expensive treatments before they ever cause your child pain.
In the dental world, "no pain" doesn't always mean "no problem." Most dental issues in children are completely invisible and painless in the early stages.
By the time a cavity is large enough to see with the naked eye or cause a toothache, it has usually been there for months and might require a more invasive treatment like a crown or a pulpotomy (baby root canal). X-rays are our best preventive tool—they let us find and fix tiny problems while they’re still easy to manage, keeping your child’s experience in the chair short and sweet.
Definitely. One of the perks of our office is that we provide both pediatric dentistry and orthodontics. Dr. Beanca Chu and our orthodontist, Dr. Shawn Yu, use digital X-rays to track exactly how the permanent teeth are moving into place.
A panoramic X-ray (the one that rotates around the head) gives us a full "map" of the jaws. It helps us see if the jaw is aligned correctly or if there’s enough room for adult teeth to erupt. The American Association of Orthodontists recommends an evaluation by age 7, and having these X-rays on file allows us to catch bite issues early, often shortening the time your child might eventually need to spend in braces or clear aligners.